2025.03.09
출처
지금의 20~30대가 살고 싶어하는 집은 어디일까?
투자를 하기 위해선 그 재화를 필요로 하는 수요자가 있어야 한다. 지금의 20~30대도 결국은 자신의 집을 ...
Salmonella는 전신질환인 Typhoid fever(장 티푸스)를 일으키는 것과 아닌 것으로 나뉜다.
Salmonella 속(genus)에는 Salmonella enterica 종(species)이 있고, 아종(subspecies) 밑에 혈청형(sero...
Celiac disease는 글루텐 단백질(정확히는 gliadin)에 대한 이상 면역 반응으로 생긴다.
우리가 아는 밀을 해부하면 다음과 같다. 밀가루에는 녹말 성분 외에도 단백질이 포함되어 있으며, 단백질 ...
Pseudomembranous colitis의 pathogenesis : tight junction & cytoskeleton
Pseudomembranous colitis를 일으키는 Clostridium difficile는 점막 세포들의 tight junction을 깨뜨리...
NSIP는 UIP와 달리 uniform pattern을 보인다.
regional & temporal heterogeneity를 보이지 않는다. (UIP에서는 fiboblastic foci~fibrosis~honey...
Surfactant가 제대로 흡수되지 않는다면? -Pulmonary Alveolar Proteinosis
폐포가 빵빵하게 펴질 수 있는 까닭은 surfactant가 표면장력을 유지해주기 때문이다. surfactant는 type ...
Polycythemia vera는 RBC만 많아지는 것이 아니고, panmyelosis를 일으킨다.
진성 적혈구증가증 (PCV)는 적혈구(red cell), 과립구(granulocytes), 혈소판(platelet)이 모두 증가하...
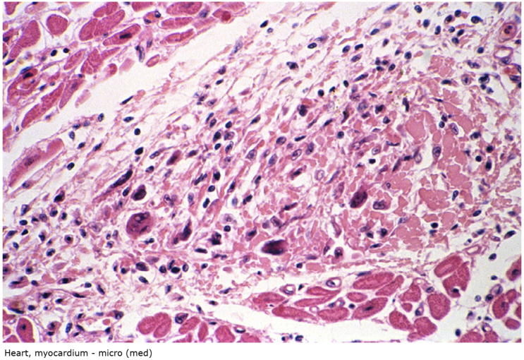
심근경색의 조직학적 소견 (발생부터 흉터 생성까지의 시간적 변화)
동쪽 하늘의 별을 보기 위해선 해가 져야한다
Megakaryocyte는 sinusoid 옆에 있으면서 cytoplasmic process를 내뻗고 있다.
process에서 세포질 조각들이 떨어져 나와서 proplatelet을 형성하고, 그것들이 혈류 안에서 platelet으로 ...
Rheumatic heart disease는 sterile vegetation 질환이다.
A 9-year-old female had two previous attacks of rheumatic fever. She entered the hospital for the ...