2025.04.26
출처
빌라드쥬아난티 구경
아난티 코브를 왔다가 새로 개장한 빌라드쥬 아난티 구경을 갔다 왔다 village de ananti 아난티 마을이라...
[농사일기] 포도가 여무는 시간
여름의 농사는 너무 고통스럽다 하우스 내에 들어가는것만으로도 숨이 막히고 어지럽고 아무리 제초매트를 ...
[수서역 치과 전문의] 치아 뿌리 파절로 인한 발치
안녕하세요 수서역 치과 치과 전문의 수서서울삼성치과 원장 이재현입니다 다들 1주간 지속된 비에 큰 피해...
[수서 신혼희망타운 치과] 치근단 염증 신경치료
안녕하세요 수서역치과 수서신혼희망타운 치과 치과 보철과 전문의 이재현입니다 예전에 치근단 염증으로 ...
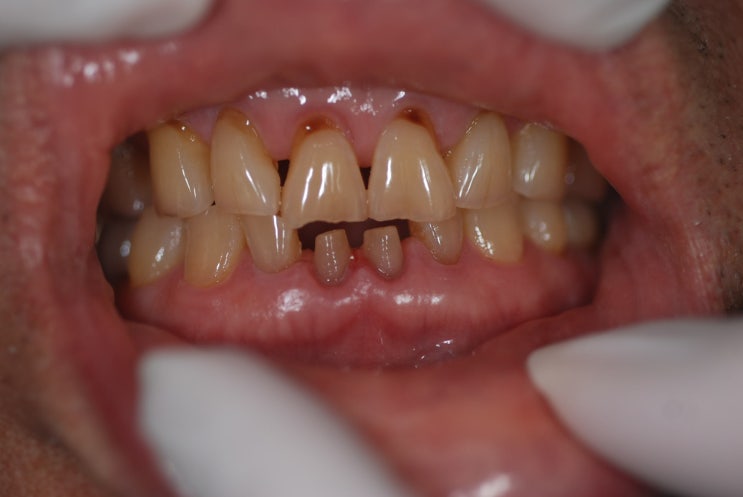
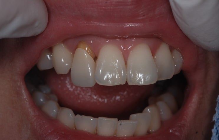
[일원동 치과] 전치부 파절로 인한 임플란트 보철
안녕하세요 수서역 치과 일원동 치과 수서신혼희망타운 치과 수서서울삼성치과 원장 이재현입니다 오늘은 ...
[일원동 치과] 하악 전치부 심한 마모 지르코니아 크라운
안녕하세요 수서역치과 수서신혼희망타운 치과 수서서울삼성치과 원장 이재현입니다 오늘은 좀 특이한 케이...
[수서 치과] 수서역치과 전치부 지르코니아 크라운
안녕하세요 수서역치과 보철과 전문의 수서서울삼성치과 원장 이재현입니다 봄이 끝나가고 여름이 오는 날...
[세곡동 치과] 얇은 뼈 임플란트 식립
안녕하세요 세곡동 치과 수서동 치과 보철과 전문의 수서서울삼성치과 대표원장 이재현입니다 오늘은 얇은 ...
[헬리오시티 치과] 치아 뿌리 염증 신경치료 후 회복
안녕하세요 수서역치과 문정도 치과 수서서울삼성치과 원장 이재현입니다 오늘은 신경치료 후 회복한 환자...
[기장 아난티 코브] 씨사이드 스페셜
지난 여름 간만에 부산을 다녀왔다 부산은 멀고 멀고 멀다 기장은 부산에서도 더 멀다 그래서 엄청 자주갈...