2025.05.05
출처
5월 5일 어린이날 정상진료/ 5월 6일 대체공휴일 휴진
안녕하세요. 선데이치과입니다. 5월은 가정의 달 ^^ 모두 행복한 시간들 보내고 계신지요. 이번 주 진료 안...
교정유지장치가 떨어졌어요 그냥 제거해도 될까요?
안녕하세요 :) 무럭무럭성장중인 4년차 치과위생사 정쌤입니다. 오늘은 교정환자분들이 가장 많이 궁금해하...
당뇨병 환자의 임플란트 도전기 (feat.혈당조절)
안녕하세요 :-) 저는 선데이치과에서 무럭무럭 성장 중인 4년차 치과위생사 영쌤입니다! 지난번에는 고혈압...
사랑니 뽑지 않아도 되는 관리 방법 알려드립니다!
안녕하세요 :-) 저는 선데이치과에서 무럭무럭 성장 중인 4년차 치과위생사 영쌤입니다! 사랑니 때문에 잇...
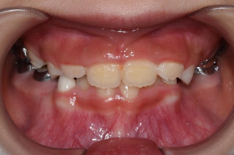
우리아이 1차 소아교정 가철식악궁확장장치 사용방법, 장치 세척 주의사항 알아봐요!
안녕하세요 무럭무럭성장중인 4년차 치과위생사 정쌤입니다. 오늘은 저번에 말씀드린대로 악궁확장장치에 ...
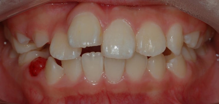
10살친구의 돌출된 상악 치아! 성장, 성인교정 클리피씨 진행! 교정 진행후 생긴 하얀 반점까지 간단하게 치료하기
안녕하세요 무럭무럭 성장중인 4년차 치과위생사 정쌤입니다. 오늘은 2급부정교합을 가진 친구의 성장, 성...
우리아이 양치 습관과 고불소 치약 양치질 중요성
안녕하세요. 저는 무럭무럭 성장하고 있는 '선데이치과' 4년차 치과위생사 주짱입니다. 오늘은 ...
치과에서 하는 미백 치료 정말 효과 있을까? (feat.미백 전후 비교 사진 포함)
안녕하세요 :-) 저는 선데이치과에서 무럭무럭 성장 중인 4년차 치과위생사 영쌤입니다! 요즘 코로나가 완...
20대부터 시린치아 센소다인 쓰면 해결될까요?
안녕하세요! 저번주에 이어 또 인사드리는 '선데이치과' 주짱입니당~ 다들 한주간 잘 지내셨나용...
만9살 꼬마친구 퍼스트 인비절라인 치아교정시작 (feat.과개교합,공간부족 부정교합 투명교정으로 해결)
안녕하세요. 무럭무럭 성장중인 4년차 치과위생사 정쌤입니다. 요새는 교정을 한 듯 안한듯 티가 안나는 투...