2025.06.14
출처
13살 푸들 강아지 간종양 관리 / 반려견 종양에 의한 빈혈 치료 / 애완견 간종양 증상은? / 강아지 빈혈 원인, 이유, 증상 / 강아지 빈혈은 꼭 수혈해야 하나요.?
안녕하세요~ 굿파파 수의사입니다. 오전부터 내린 비가 멈추었네요~ 일교차가 심해서 감기 걸리기 딱 좋은 ...
휘닉스파크 평창 그린동 카카오 스탠다드 20평 객실, 온담 식당 이용 후기
휘닉스파크 평창의 그린동 리뉴얼이 완료되었다. 이번에는 리뉴얼된 그린동의 “카카오 스탠다드”를 이용...
강아지 턱 밑에 혹이 생긴 이유, 원인 / 반려견 침샘종 제거 수술 전문 동물병원 / 노령견 침샘 제거 잘 하는 수의사 / 강아지 침샘 낭종 수술 비용 가격, 수술 후유증은?
안녕하세요~ 굿파파 수의사입니다. 5월의 연휴가 시작되었네요~ 가족과 함께 행복한 시간 만드시기를 기도...
15살 강아지 심장병 폐수종 치료 후기 / 과거에 심장사상충 치료한 노령견 심장병 관리 / 반려견 폐수종 증상, 치료 전문 동물병원 / 강아지 호흡곤란, 호흡이상, 호흡수 증가
안녕하세요~ 굿파파 수의사입니다. 오늘은 근로자의 날이네요~ 번개가 치고, 비가 내리기 시작하네요 따뜻...
휘닉스파크 평창 부대시설 웰컴드링크 오락실 사우나
안녕하세요, 여행블로거 blessing입니다. 휘닉스파크 평창은 리조트 안에서만 놀아도 될 정도로 다양한 부...
평창 아이와 가 볼 만한 곳, 휘닉스 파크 상상놀이터
평창, 아이와 가 볼 만한 곳 휘닉스 파크 상상놀이터 휘닉스 파크에 아이들과 가 볼 만한 곳이 또 생겨서 ...
10살 말티즈 강아지 만성 외이염 수술 / 반려견 전이도 적출술 후유증, 관리법 / 애완견 귀에서 고름이 나오는 이유 / 강아지 재발성 외이염 관리, 귀청소 주기
안녕하세요~ 굿파파 수의사입니다. 날씨가 너무 좋은 하루네요~^^* 커피 한 잔과 함께 행복한 오후 보내세...
15살 푸들 강아지 심장병 & 만성 신부전 관리 1 년 후기 / 노령견 만성신부전증 증상, 치료, 관리법 / 반려견 심장병 관리 전문 동물병원 / 애완견 심장병 증상, 치료 전문
안녕하세요~ 굿파파 수의사입니다. 오늘부터 날씨가 더워지고 수요일에는 여름 날씨가 느껴진다고 합니다. ...
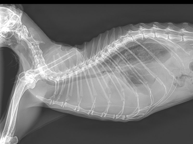
18살 고양이 호흡 이상, 곤란한 이유 / 노령묘 흉수 원인, 치료, 관리법 / 고양이 식욕 감소, 호흡수가 빠른 이유는? / 고양이 유미흉 엑스레이, 치료, 관리하는 방법
안녕하세요~ 굿파파 수의사입니다. 벌써 4 월의 마지막 일요일입니다. 행복한 미소 가득한 하루 보내세요 ...
15살 포메라니안 강아지 만성 신부전 말기 합병증, 증상, 관리 / 반려견 빈혈 치료 후기 / 노령견 만성 신부전증 빈혈 주사 치료 / 애완견 빈혈 호르몬 주사와 관리법
안녕하세요~ 굿파파 수의사입니다. 4월의 마지막 금요일이네요~ 더 행복한 하루 보내시기를 기도드립니다. ...