신촌역치과 정기검진의 중요성 다수의 충치 재발, 인레이, 신경치료

2025.07.07

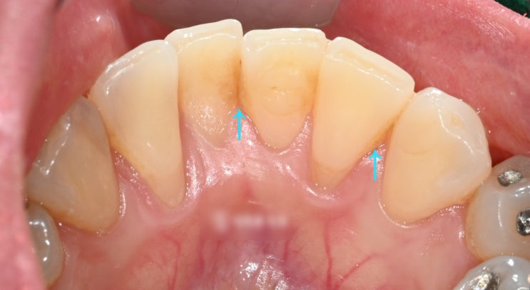
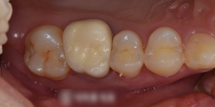
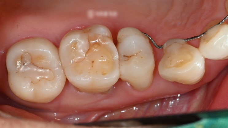
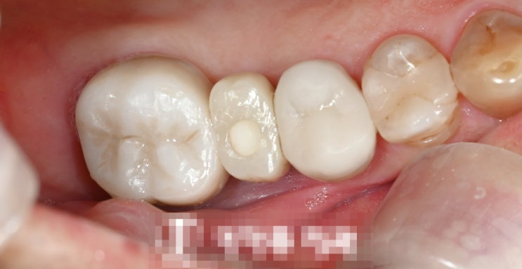
안녕하십니까, 대표원장 조민기입니다. 여러분들께서는 정기검진 을 받으신지 얼마나 되셨나요? 많은 분들...

관련 포스팅

Copyright blog.dowoo.me All right reserved.