2025.07.07
출처
서대문구 치과 지속되는 치아 크라운 빠짐, 부러짐/ 앞니 뿌리 발치 후 임플란트 수술 과정
안녕하세요, 서대문구 치과 의사 조민기입니다. 만일 크라운 치료를 받은 부위에서 반복적으로 ‘빠짐’이...
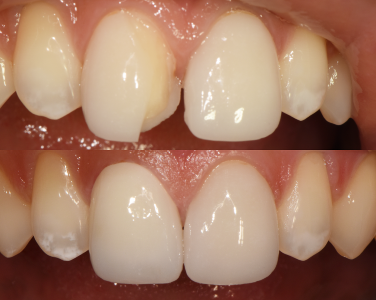
신촌역 치과 앞니 부러짐, 치아 뿌리 파절, 신경치료 후 크라운 수복
안녕하세요, 신촌역 치과 원장 조민기입니다. 앞니가 부러지거나 금이 간 경우, 많은 분들께서 당황스러우...
신촌 치과 브릿지 통증의 원인은 교합력 방향? 어금니 발치 후 임플란트 수술(홀 메꾸기 과정)
안녕하세요, 신촌 치과 원장 조민기입니다. 현생을 사느라 오랜만에 인사드리네요ㅎㅎ 이제부터 자주 다시 ...
신촌 사랑니 치과 누워있는 매복 제3대구치 발치 신경 손상이 걱정된다면?
안녕하세요, 대표원장 조민기입니다. 많은 분들이 누워 있는 매복 제3대구치 발치 시 신경 손상에 대해 걱...
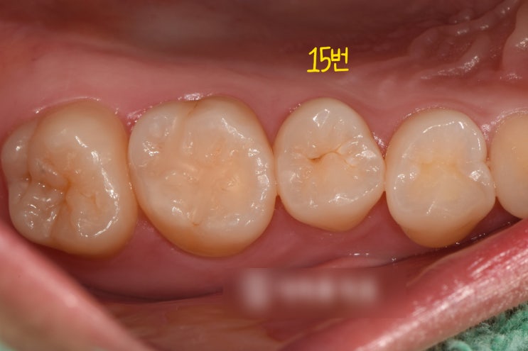
치아 충치 확인, 인레이 치료 과정, 치성 상악동염 임플란트 수술 서대문구 치과
안녕하세요, 대표원장 조민기입니다. 아래턱과 다르게 위턱뼈 속에는 빈 공간이라 부를 수 있는 거시 공간...
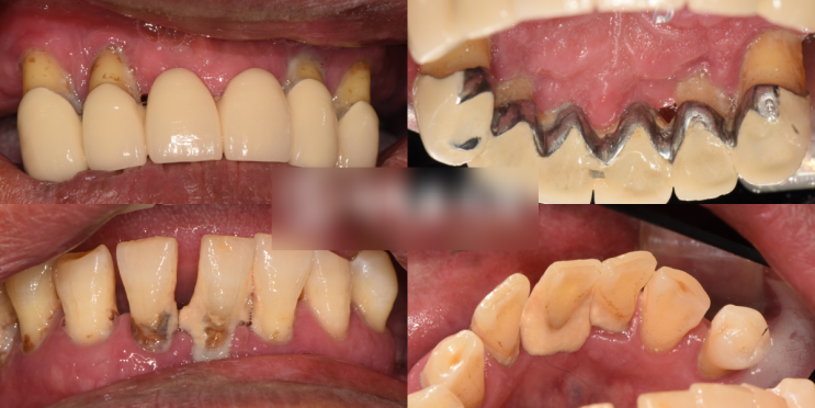
치아 재식술 후 염증과 통증 발생, 뼈이식 동반한 임플란트 식립 신촌 치과
안녕하세요, 대표원장 조민기입니다. 여러분들은 '치아 재식술' 이라는 진료 방법을 알고 계신가...
치아 균열, 크랙과 2차 충치 인레이, MTA 토미, 신경치료 후 크라운 신촌역치과
안녕하세요, 치과 의사 조민기입니다. 오늘은 치아 균열과 크랙, 그리고 2차 충치를 인레이, MTA 토미, ...
서대문역 치과 어금니 초기 충치와 앞니 크라운 깨짐 레진 충전과 심미치료
안녕하세요, 대표원장 조민기입니다. 오늘은 어금니 초기 충치와 심미 치료에 관한 내용을 소개드리겠습니...
초기 충치 확인, 제거 후 레진치료 및 매복 사랑니발치 신촌역 치과
안녕하세요, 많은 분들께서 충치(우식증)로 치과를 방문하시는데요. 대게 통증이 있는 경우가 많기에 찬 것...
신촌치과 스케일링의 중요성 전체 치아 발치 후 전악 임플란트 수술
안녕하세요! 닥터 조민기입니다. 오늘은 스케일링과 정기 검진의 중요성에 대해 알려드리겠습니다. 먼저 관...