2025.10.05
출처
카페에서 공부를 하면 더 잘 될까?(카공)
요즘 스타벅스 같은 카페에 가면 커피 한잔을 시켜놓고, 랩톱 컴퓨터를 펴 놓고 공부를 하고 있는 학생들을...
"늙기도 설워라 커든"
이 제목은 조선조 중기의 시인이며 정치가였던 송강 정철 선생의 유명한 시조의 한 구절이다. 부모의 은덕...
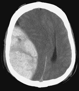
뇌 손상의 루시드 인터벌(lucid interval)
두개는 위의 그림처럼 겉에 두피가 있고 두개골이 있으며 그 아래에 비교적 두껍고 질긴 경막이 있다. 그 ...
힙합, 에미넴, 영어 공부
필자는 중학교 때부터 학교에서 영어를 배우기 시작했고, 고등학교 때는 물론, 의과대학에서도 그 당시에는...
살 빼는 약; 위고비(Wegovey)
아무리 많이 먹어도 저절로 살이 빠지게 하는 약이 있으면 얼마나 좋을까? 그러나 그런 약은 없다. 그냥 덜...
넷플릭스 영화; 더 레지던트(The Resident)를 보면서
필자는 최근에 netflix에서 방영되는 의료 영화 " the resident"를 보면서 여러 가지 소감이 들...
급성 충수염(맹장) 같은데 아닌 것은?
40세 된 기혼 여성이 8일 전부터 오른쪽 아랫배에 아래 그림으로 표시한 장소가 아프다고 해서 내원하였다....
"물을 빨대로 마시면 괜찮은데 그대로 마시면 가슴 한 가운데가 아프다"
세상에는 별의 별 증상을 호소하는 분들도 많다. 오늘은 그 중 하나를 소개한다. 캐나다에 사시는 48세 되...
이런 대장 내시경 소견은 어떤 병일까요?
78세 된 여성이 식사를 하면 윗배가 더부룩하고 통증은 오히려 아랫배에서 생긴다고 해서 내원하였다. 이런...
국가 검진 시에 추가 검사는 어떤 것이 좋을까요
일전에 어느 유튜브를 보는데 시청자들이 서로 채팅을 하는 중에 한 분이 "나는 금년에 국가에서 하는...